Nouvelle version de RadRap.ch avec Rich Text Editor, support IA (nécessite une clé API ChatGPT ou Claude) et nombreux calculateurs. Contactez moi pour enrichir le site avec vos CR types manquants !
ASPECTS
Score AVC ischémique CT
Utilisez l'image anatomique comme référence, puis cochez les territoires atteints. Score = 10 − régions atteintes.
Coupe des ganglions de la base
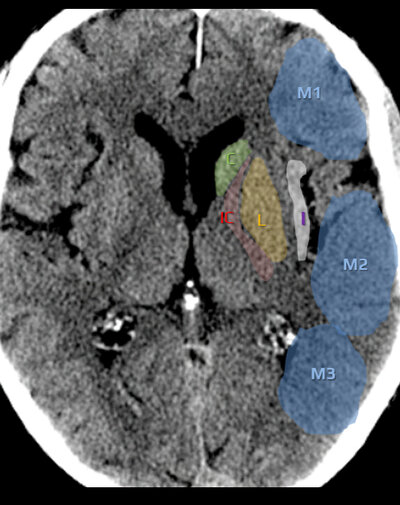
ASPECTS — Coupe ganglions de la base : C, L, IC, I, M1, M2, M3

C = caudé · L = lenticulaire · IC = capsule interne · I = insula · M1-M3 = cortex ACM

RégionStructureÉtat
Coupe supra-ganglionnaire (corona radiata)
ASPECTS — Coupe supra-ganglionnaire : M4, M5, M6

M4 = ACM antérieur · M5 = ACM latéral · M6 = ACM postérieur

RégionStructureÉtat
Score ASPECTS (CT)

Interprétation et bundle AVC (cliquer)
Seuils décisionnels
ASPECTSInterprétation
8-10Candidat optimal à la reperfusion
6-7Zone grise — décision individualisée
0-5Ischémie étendue — risque hémorragique ↑↑
⏱️ Bundle AVC ischémique
  • Door-to-CT : < 25 min
  • Door-to-needle (tPA) : < 60 min
  • Door-to-groin : < 90 min
  • Fenêtre tPA : < 4.5h
  • Thrombectomie : < 6h (24h si DAWN/DEFUSE-3)