Nouvelle version de RadRap.ch avec Rich Text Editor, support IA (nécessite une clé API ChatGPT ou Claude) et nombreux calculateurs. Contactez moi pour enrichir le site avec vos CR types manquants !
pc-ASPECTS
Score AVC circulation postérieure
pc-ASPECTS : Score sur 10. Pont et mésencéphale valent 2 points chacun (structures médianes). Thalamus, lobe occipital (ACP) et cervelet valent 1 point par côté.
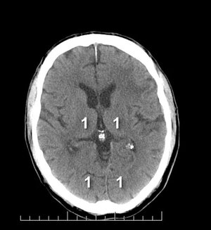
pc-ASPECTS — Niveau thalamique : T (thalamus), OL (lobe occipital)
Niveau thalamique
T Thalamus · OL Lobe occipital
pc-ASPECTS — Niveau mésencéphalique : M (mésencéphale)
Niveau mésencéphalique
M Mésencéphale (2 pts)
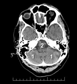
pc-ASPECTS — Niveau pontique : P (pont), C (cervelet)
Niveau pontique
P Pont (2 pts) · C Cervelet
RégionStructurePointsÉtat
pc-ASPECTS (Circulation postérieure)

Pondération et interprétation (cliquer)

Pondération : Pont et mésencéphale comptent double car leur atteinte est associée à un pronostic nettement défavorable (locked-in, coma).

pc-ASPECTSInterprétation
8-10Pronostic favorable — reperfusion recommandée
6-7Pronostic intermédiaire — au cas par cas
≤ 5Ischémie sévère — bénéfice incertain

Limites : Moins validé que ASPECTS antérieur. Fosse postérieure difficile au CT (artefacts osseux). IRM (DWI) préférable.