Nouvelle version de RadRap.ch avec Rich Text Editor, support IA (nécessite une clé API ChatGPT ou Claude) et nombreux calculateurs. Contactez moi pour enrichir le site avec vos CR types manquants !
Angiocanner cérébral (sans TSA)
Le mode IA nécessite d'être connecté. Se connecter ou créer un compte.
Articles associés

Articles liés à ce compte rendu. Utilisez la recherche pour parcourir tous les articles disponibles.

Score ASPECT

Le score ASPECT (Alberta Stroke Program Early CT Score) est un outil de quantification précoce de l’ischémie cérébrale. Le score est établi sur les lésions ischémiques détectées au scanner sans injection, un score à 10 étant normal et à 0 avec une ischémie totale dans la zone étudiée.




Le score est établi à partir de deux plans de coupes scanographiques axiaux standard : 

  • le premier passant par le thalamus et les noyaux lenticulaires ; 
  • le deuxième passant par les ventricules latéraux et adjacents au bord supérieur des ganglions de la base, de telle sorte que ceux-ci ne sont pas vus. 

Entre ces deux plans de coupe, le territoire de l’artère cérébrale moyenne est divisé en 10 régions, chacune valant un point :

  • 3 points sont attribués pour les structures sous-corticales ;
  • 7 pour les parties corticales. 
Un point est soustrait pour chaque région où l’on note un changement ischémique précoce :
  • un score ASPECTS de 10 signifie un scanner normal ;
  • un score ASPECTS de 0 signifie une ischémie diffuse à tout le territoire de l’ACM. 

L’utilisation d’ASPECT est limitée au territoire de l’ACM. De ce fait, l’on ne peut pas y recourir pour l’infarctus de l’artère cérébrale antérieure ou vertébro-basilaire. 

ASPECT ne permet pas d’identifier les patients qui devraient recevoir ou non un thrombolytique


Score : site web urgences-serveur.fr

Anatomie vasculaire de l'artère cérébrale moyenne

Anatomie segmentaire :

Source de l'illustration


Source de l'illustration


Source de l'illustration


  • M1 : segment sphénoïdal ou horizontal
    • origine : terminaison de la carotide interne ; 
    • trajet : lateralement, parallellement au rebord sphénoïdal ;
    • terminaison : à la bifurcation principale M1-M2 
  • M2 : segment insulaire
    • origine : à la bifurcation principale M1-M2 ;
    • trajet : direction postérosupérieure dans la fente insulaire ; 
    • terminaison : dans le sillon circulaire de l'insula (sillon tout autour de l'insula), en faisant une épingle à cheveu ; 
  • M3 : segment operculaire
    • origine dans le sillon circulaire ; 
    • trajet : lateralement le long de l'opercule frontopariétal ; 
    • terminaison : surface supérieure/externe de la fissure sylvienne ; 
  •  M4 : segment cortical
    • origine : surface supérieure/externe de la fissure sylvienne ; 
    • trajet : superieurement sur la convexité latérale ; 
    • terminaison : cortex.


Anatomie des branches périphériques :

Source : Neuroanatomy: An Atlas of Structures, Sections, and Systems, 8th Edition, Duane E. Haines

Anatomie vasculaire de l'artère cérébrale antérieure

Anatomie segmentaire :

Source de l'illustration


Source de l'illustration


  • A1 : segment horizontal ou pré-communicatante 
    • origine : terminaison carotidienne ; 
    • terminaison : au niveau de l'artère communicante antérieure (ACOM) ; 
  • A2 : segment vertical ou post-communicante ou infracallosal 
    • origine : au niveau de l'artère communicante antérieure (ACOM) ; 
    • trajet : le long du rostre du corps calleux ; 
    • terminaison : au niveau du genou du corps calleux ou à l'origine de l'artère callosomarginale ; 
  • A3 : segment précallosal 
    • origine : au niveau du genou du corps calleux ou à l'origine de l'artère callosomarginale ; 
    • terminaison : lorsque l'artère tourne postérieurement au dessus du corps calleux ; 
  • A4 : segment supracallosal 
    • au dessus du corps du corps calleux antérieurement au plan de la suture coronale ; 
  • A5 : ​segment postcallosal 
    • au dessus du corps du corps calleux postérieurement au plan de la suture coronale.


NB : artère péricalleuse = partie de l'ACA à partir de A2 ou de A3 (controverse).


Anatomie des branches :


Source : Neuroanatomy: An Atlas of Structures, Sections, and Systems, 8th Edition, Duane E. Haines

Anatomie vasculaire de l'artère cérébrale postérieure

Source de l'illustration


Source de l'illustration


  • P1 : segment pré-communicante 
    • origine : termination basilaire ; 
    • terminaison : émergence de l'artère communicante postérieure (PCOM), dans la citerne interpedunculaire ; 
  • P2 : segment post-communicante 
    • origine : émergence de l'artère communicante postérieure (PCOM), dans la citerne interpedunculaire ; 
    • P2A (antérieure) : sous-segment traversant la citerne crurale (en regard des pédoncules cérébraux) ; 
    • P2P (postérieure ou ambiante) : sous-segment traversant la citerne ambiante jusque dans la citerne quadrigéminale ; 
  • P3 : segment quadrigéminal 
    • trajet : postéromedialement au travers de la citerne quadrigéminale ; 
    • terminaison : entrée dans les sillons du lobe occipital ; 
  • P4: segment cortical ​
    • trajet : dans les sillons du lobe occipital.


Anatomie des branches périphériques :


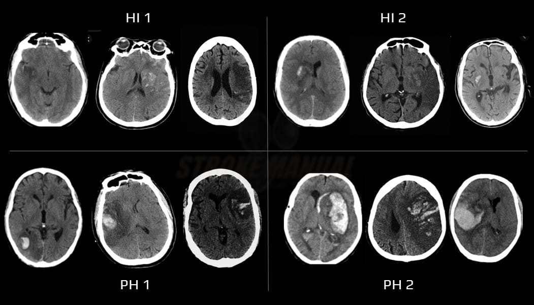
Classification des transformations hémorragiques

Classification de Heidelberg :

La classification d’Heidelberg (Heidelberg Bleeding Classification (HBC), a été proposée afin de compléter la classification d’ECASS avec la prise en compte des saignements à distance de la lésion ischémique (remote – PHr), les hémorragies intraventriculaires, les hémorragies sous-arachnoïdiennes (dont l’incidence a nettement augmenté depuis de la démocratisation des techniques endovasculaires) et les hématomes sous-duraux :

  • 1 : Transformation hémorragique de tissu cérébral infarci :
    • 1a : HI1 : pétéchies isolées au sein du tissu infarci, sans effet de masse ;
    • 1b : HI2 : pétéchies confluentes au sein du tissu infarci, sans effet de masse ; 
    • 1c : PH1 : hématome occupant ≤ 30% de la zone infarcie, sans effet de masse significatif ;
  • 2 : Hémoragie intraparenchymateuse dans et au-delà da la zone infarcie : 
    • PH2 : hématome occupant > 30% de la zone infarcie, avec un effet de masse évident attribuable à l'hématome ; 
  • 3 : Hémorragie intraparenchymateuse à distance du tissu cérébral infarci ou hémorragie intracrânienne extra-parenchymateuse :
    • 3a : hématome intraparenchymateux à distance du tissu cérébral infarci ;
    • 3b : hémorragie intraventriculaire ; 
    • 3c : HSA ; 
    • 3d : HSD.

Source : Article - Stroke - The Heidelberg Bleeding Classification



Classification de ECASS :

La classification ECASS est un système de classification plus ancienne que celle de Heidelberg et désormais moins utilisée, qui a été développé pour l'étude européenne sur les accidents vasculaires cérébraux aigus (ECASS II) et qui divise la transformation hémorragique en 4 sous-types :



  • Infarctus hémorragique de type 1 (HI1) : pétéchies isolées au sein du tissu infarci, sans effet de masse.
  • Infarctus hémorragique de type 2 (HI2) : pétéchies confluentes au sein du tissu infarci, sans effet de masse attribuable au saignement.
  • Hématome parenchymateux type 1 (PH1) : lésion homogène occupant ≤ 30% de la zone infarcie, avec un effet de masse minime attribuable à l'hématome.
  • Hématome parenchymateux type 2 (PH2) : lésion homogène occupant > 30% de la zone infarcie, avec un effet de masse substantiel attribuable à l'hématome.

Source : site web stroke-manual.com


Autre référence : Marie Couture. Hémorragie intracrânienne et pronostic fonctionnel post-AVC chez les patients traités par thrombolyse et thrombectomie : influence des antiagrégants plaquettaires. Médecine humaine et pathologie. 2018. ffdumas-02073294f

(aucun vote)