Mesures pour la pelvimétrie
Cet examen est destiné à identifier une disproportion fœto-pelvienne, pouvant provoquer une dystocie. La morbidité fœto-maternelle et la mortalité augmentent en effet avec un travail prolongé. Les mesures du pelvis maternel, initialement réalisées sur des radiographies standards, doivent maintenant être effectuées par scanner low dose ou mieux par IRM, qui est la méthode de choix.
Technique IRM :
La pelvimétrie IRM est réalisée sur un appareil 1.5 T ou 3T. La patiente est installée en décubitus dorsal. L’installation doit être la plus confortable possible pour éviter les mouvements. Si nécessaire, un coussin peut être installé sous les genoux pour obtenir une légère flexion des hanches. Les séquences sont obtenues avec des antennes couplées corps et pelvis.
Des séquences T1 vibe en apnée sont obtenues sur trois plans :
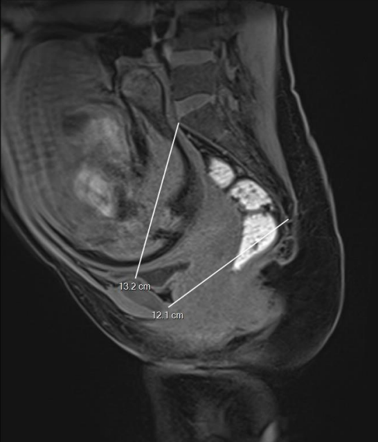
- Plan sagittal médian permettant de mesurer l’espace entre la symphyse pubienne et le promontoire sacré, puis entre la symphyse et la jonction sacro-coccygienne ;
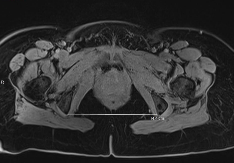
- Plan transverse permettant de mesurer les distances entre les épines sciatiques d’une part, entre les ischions d’autre part ;
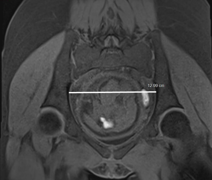
- Plan coronal oblique reliant la symphyse au promontoire et permettant de mesurer le diamètre transverse du pelvis.
Le FOV doit couvrir le bassin (32 cm). Epaisseur de coupe 3mm.

Sur la coupe sagittale médiane :
- Distance promonto-rétropubienne (obstetric conjugate) ;
- Distance sous-sacro sous-pubien (sagittal outlet).

Sur les coupes transverses :
- Sur la coupe passant par les fovea des têtes fémorales, la distance interépineuse, la distance la plus étroite entre les épines sciatiques ;

- Sur la coupe passant par les ischions, la distance intertubéreuse, la distance la plus large entre les tubérosités ischiatiques ;

- Enfin sur la coupe coronale oblique joignant la symphyse au promontoire, le diamètre transverse du pelvis, le plus grand diamètre transverse du pelvis.

Ces valeurs doivent être misent en perspective avec les valeurs normales, en particulier celles de l’étude de Thomas Keller et al, Obstetric MR pelvimetry : Reference values and evaluation of inter- and intraindividual variability, Radiology 2003 ; 227 :37-43 :

Il faut comparer les valeurs obtenues durant l’examen de pelvimétrie IRM avec les valeurs mesurées pour les accouchements spontanés (subgroup 1*) et celles des disproportions foetopelviennes (subgroup 2*). Sur la base de ces valeurs et de son appréciation clinique, l’obstétricien choisira la voie d’accouchement optimale. Il faut se rappeler que la place de la pelvimétrie dans la planification d’un accouchement est toujours discutée et qu’elle n’a pas de valeur absolue
Source : document de référence du Prof. JY. Meuwly (CHUV)
- Nicolas Villard


