Nouvelle version de RadRap.ch avec Rich Text Editor, support IA (nécessite une clé API ChatGPT ou Claude) et nombreux calculateurs. Contactez moi pour enrichir le site avec vos CR types manquants !
IRM cérébrale (bilan cognitif)
Copier directement le CR dans le presse-papier :
Articles associés

Articles liés à ce compte rendu. Utilisez la recherche pour parcourir tous les articles disponibles.

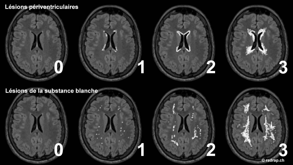
Classification Fazekas


Lésions périventriculaires :

0 = Pas de lésion 

1 = Punctiformes ou fines lignes 

2 = Halo 

3 = Extensives à la substance blanche   


Lésions de la substance blanche profonde : 

0 = Pas de lésion 

1 = Punctiformes 

2 = Confluence débutante 

3 = Multiples zones confluentes 

(aucun vote)