- Abdomen et pelvis
- Coloscanner
- Échographie de la paroi abdominale à la recherche de hernie
- Échographie-Doppler de l'aorte abdominale
- Échographie-Doppler de la veine porte
- Échographie-Doppler du greffon rénal
- Scanner abdominopelvien (portal)
- Scanner abdominopelvien (natif)
- Scanner abdominopelvien (pancréas)
- Scanner abdominopelvien (ischémie mésentérique)
- Scanner abdominopelvien (A natif + AP portal)
- Scanner abdominopelvien (cirrhose/CHC)
- Scanner abdominopelvien (A natif, A artériel, AP portal)
- Scanner abdominopelvien (urinaire multiphasique)
- Scanner abdominopelvien (volumétrie hépatique préopératoire)
- Scanner abdominopelvien (surrénales)
- Scanner abdominopelvien (AP sans + AP portal)
- Scanner abdominopelvien (recherche de hernie)
- Scanner abdominopelvien (carcinose péritonéale)
- Uroscanner
- Bodyscanner
- Bodyscanner (polytrauma ; avec injection)
- Bodyscanner (polytrauma ; sans injection)
- Coeur et vaisseaux
- Angioscanner abdominopelvien (DIEP)
- Angioscanner de l'aorte (syndrome aortique aigu)
- Angioscanner de l'aorte abdominale (AAA non rompu)
- Angioscanner de l'aorte abdominale (suivi EVAR)
- Angioscanner de l'aorte (pré-TAVI)
- Angioscanner des membres inférieurs
- Angioscanner du membre supérieur XXX
- Phlébo-scanner VCS
- Scanner [XXX] (recherche de saignement musculaire)
- Scanner cardiaque
- Scanner cardiaque (score calcique)
- Cou, thorax, abdomen et pelvis
- Imagerie de la femme
- Pelvimétrie par scanner
- MSK
- Arthroscanner de l'épaule
- Arthroscanner de la cheville
- Arthroscanner de la hanche
- Arthroscanner du genou
- Arthroscanner du poignet
- Scanner de l'épaule
- Scanner de la main
- Scanner des os longs en contexte traumatique
- Scanner du bassin
- Scanner du coude
- Scanner du pied
- Scanner du poignet
- Neuro-ORL
- Angioscanner cérébral (sans TSA)
- Angioscanner cérébral et des TSA
- Orthopantomogramme (panoramique dentaire)
- Scanner cérébral (natif)
- Scanner cérébral (injecté)
- Scanner cérébro-cervical
- Scanner cervico-dorsal
- Scanner dentaire (CBCT)
- Scanner des orbites
- Scanner des rochers
- Scanner des sinus
- Scanner du cou (ORL)
- Scanner du crâne (craniosténose)
- Scanner du massif facial
- Scanner du rachis cervical
- Scanner du rachis dorsal
- Scanner du rachis dorsolombaire
- Scanner du rachis entier
- Scanner du rachis lombaire
- Oncologie
- IRM corps entier (oncologie / myélome)
- Scanner thoraco-abdomino-pelvien (RECIST 1.1)
- Tête, thorax, abdomen et pelvis
- Thorax
- Angioscanner pulmonaire (EP)
- Scanner du thorax (natif)
- Scanner du thorax basse dose pour dépistage de néoplasie pulmonaire
- Thorax, abdomen et pelvis
- Scanner cérébral et thoraco-abodmino-pelvien
- Scanner du cou, du thorax, de l'abdomen et du pelvis
- Scanner thoraco-abdomino-pelvien (portal)
- Scanner thoraco-abdomino-pelvien (TA EP, AP portal)
- Scanner thoraco-abdomino-pelvien (natif)
- Abdomen
- Angio-IRM de l'aorte
- Angio-IRM des artères rénales
- Entéro-IRM
- IRM des reins
- IRM des reins (volumétrie)
- IRM des surrénales
- IRM du canal anal
- IRM du pancréas
- IRM du rectum (évaluation initiale)
- IRM hépatique (caractérisation de lésion / recherche de métastase)
- IRM hépatique (bili-IRM)
- IRM hépatique (quantification de la charge en fer)
- IRM hépatique (cirrhose/CHC)
- MSK
- Angio-IRM des membres inférieurs
- Arthro-IRM de l'épaule
- Arthro-IRM du coude
- IRM de l'épaule (sans injection)
- IRM de la cheville (sans injection)
- IRM de la hanche
- IRM de la main
- IRM des articulations sacro-iliaques
- IRM du coude sans injection
- IRM du coude (avec injection)
- IRM du genou
- IRM du pied et de la cheville
- IRM du poignet
- Neuro-ORL
- Angio-IRM des troncs supra-aortiques
- IRM cérébrale (générique)
- IRM cérébrale (SEP)
- IRM cérébrale (avec ARM)
- IRM cérébrale (épilepsie)
- IRM cérébrale (bilan cognitif)
- IRM cérébrale (hypophyse)
- IRM cérébrale (CAI)
- IRM cérébrale (post-SBRT)
- IRM de la moelle épinière
- IRM des ATM
- IRM des glandes salivaires
- IRM des orbites (simple)
- IRM des orbites (occulomoteur)
- IRM du cou (infra-hyoïde)
- IRM du cou (supra-hyoïde)
- IRM du plexus brachial
- IRM du plexus lombo-sacré
- IRM du rachis entier
- IRM du rachis cervical
- IRM du rachis dorsal
- IRM du rachis lombaire
- Pelvis (féminin)
- Échographie pelvienne par voie endovaginale
- Échographie obstétricale du premier trimestre
- Échographie pelvienne par voie sus-pubienne
- IRM du pelvis féminin (masse pelvienne)
- IRM du pelvis féminin (endométriose)
- IRM pelvienne de staging oncologique
- Pelvimétrie par IRM
- Pelvis (masculin)
- IRM de la prostate
- Abdomen
- ASP
- MSK
- Radiographies [XXX]
- Radiographies de l'épaule
- Radiographies de la cheville
- Radiographies de la cheville et du pied
- Radiographies de la hanche
- Radiographies de la main
- Radiographies des genoux (traumatisme)
- Radiographies des genoux (gonarthrose)
- Radiographies du coude
- Radiographies du pied
- Radiographies du poignet
- Radiographies du rachis cervical
- Radiographies du rachis dorsal
- Radiographies du rachis entier (scoliose)
- Radiographie du rachis entier (douleur)
- Radiographies du rachis lombaire
- Thorax
- Radiographie du thorax (debout ; face)
- Radiographie du thorax (debout ; face et profil)
- Radiographies du thorax (assise/couchée ; face)
- Abdomen et pelvis
- Échographie abdominale pour contrôle de TIPS
- Échographie abdominopelvienne
- Échographie abdominopelvienne (sans tube digestif)
- Échographie des régions inguinales (recherche de hernie)
- Échographie des reins
- Échographie FAST
- Échographie abdominale (recherche de CHC)
- Échographie-Doppler des reins
- Échographie-Doppler du greffon hépatique
- MSK
- Échographie de l'épaule
- ORL
- Échographie cervicale (sans doppler)
- Échographie de la thyroïde
- Small parts / Parties molles
- Échographie de l'appareil testiculaire
- Échographie des parties molles
- Échographie inguinale bilatérale
- Ecographie penienne avec injection de Caverjet
- Vasculaire
- Échographie-Doppler artériel des membres inférieurs
- Échographie-Doppler veineux des membres inférieurs
- Échographie-Doppler des membres supérieurs
- Échographie-Doppler des troncs supra-aortiques
- TSA
- Ablation de lésions bénignes
- Consultation après cryo-ablation d'un nodule d'endométriose de la paroi abdominale
- Cryo-ablation d'un nodule d'endométriose de la paroi abdominale
- Cryo-ablation d'un ostéome ostéoïde
- Thermo-ablation par RF d'un ostéome ostéoïde
- Accès veineux central
- Adhésiolyse mécanique et stripping de tubulure de PAC
- Contrôle de PAC
- Mise en place de PAC veineux (jugulaire int.)
- Mise en place de voie veineuse centrale
- Stripping de PAC (voie brachiale)
- Stripping de PAC (voie fémorale)
- Angioplastie des artères viscérales
- Angioplastie artérielle hépatique (greffon)
- Angioplastie de l'artère rénale
- Angioplasties veineuses
- Stenting de la VCI
- Stenting de la VCS
- Antalgie
- Alcoolisation rétrocrurale du plexus coeliaque
- Infiltration percutanée du nerf grand occipital
- Biliaire
- Changement de drain biliaire
- Drainage percutané des voies biliaires
- Retrait de drain biliaire
- Biopsies
- Biopsie d'une lésion splénique
- Biopsie endovasculaire (pince myocardique)
- Biopsie hépatique transjugulaire (sans mesure de pressions hépatiques)
- Biopsie hépatique transjugulaire (avec mesure des pressions hépatiques)
- Biopsie médiastinale
- Biopsie médiastinale
- Biopsie pulmonaire
- Biopsie rénale (non cible)
- Ponction-biopsie [XXX] (sous échographie)
- Ponction-biopsie hépatique percutanée (cible et non cible)
- Ponction-biopsie hépatique percutanée (cible)
- Ponction-biopsie hépatique percutanée (non cible)
- Consultations
- Drainages
- Cholécystomie
- Drainage d'ascite
- Drainage d'une collection pelvienne
- Drainage de pneumothorax (Seldinger ; sous contrôle scanner)
- Drainage pleural (directe ; sous contrôle échographique)
- Drainage pleural (Seldinger ; sous contrôle échographique)
- Drainage XXX (sous échographie)
- Mise en place d'un drain péritonéal tubulisé (drainova® ArgentiC)
- Mise en place d'un drain péritonéal tubulisé (PleurX)
- Ponction-biopsie XXX (sous échographie)
- Embolisations (autres)
- Embolisation [XXX]
- Embolisations d'hémostase
- Embolisation d'un saignement artériel pulmonaire
- Embolisation d'un saignement colique (AMI)
- Embolisation d'un saignement colique (AMS)
- Embolisation d'un saignement rénal
- Embolisation d'une fistule artério-porte
- Embolisation de l'artère épigastrique inférieure
- Embolisation de l'artère splénique
- Embolisation des artères bronchiques
- Embolisation des artères intercostales
- Embolisation des artères lombaires
- Embolisation des artères utérines (urgence)
- Embolisation gastroduodénale
- Embolisation hépatique d'hémostase
- Embolisation pour hémorroïdes (emborrhoid)
- Injection percutanée de Tisseel dans un anévrisme de l'artère fémorale
- Endocrinologie
- Cathétérisme veineux pour dosage hormonal (PTH)
- Cathétérisme veineux surrénalien pour dosage hormonal
- Fibrinolyse intra-artérielle (membre inférieur)
- Contrôle de cathéter de fibrinolyse in situ
- Mise en place d'un cathéter de fibrinolyse intra-artérielle
- Filtre cave
- Mise en place d'un filtre cave (Denali)
- Retrait d'un filtre cave (Denali)
- Imagerie de la femme
- Embolisation de la veine utérine droite
- Embolisation des artères utérines (programmée)
- Injections intralésionnelles
- Injection intralésionnelle de T3P 1001
- Interventions veineuses
- Thrombectomie mécanique veineuse pour thrombose veineuse profonde
- Malformations vasculaires
- Embolisation d'un hémangiome intramusculaire (microsphères)
- Embolisation de MAV (éthanol)
- Sclérothérapie d'une malformation vasculaire (Bléomycine)
- Sclérothérapie d'une malformation vasculaire (Aetoxysklerol)
- Sclérothérapie d'une malformation vasculaire
- Sclérothérapie d'une malformation veineuse-like de XXX
- MSK
- Cryo-ablation d'un névrome de Morton
- Cryo-ablation d'un lésion des parties molles
- Embolisation d'une tumeur osseuse
- Embolisation des artères géniculées
- Infiltration d'un kyste arhtrosynovial sous échographie
- Injection percutanée de corticoïdes dans un kyste de XXX
- Radiographies du bassin et de la hanche (pédiatrie)
- Vertébroplastie
- Nutrition
- Changement de gastrostomie
- Changement de sonde de jéjunostomie
- Gastropexie et mise en place de gastrostomie (GPR)
- Oncologie - Conditionnement avant résection hépatique
- Embolisation portale et sus-hépatique
- Oncologie - PAC hépatique intra-artériel
- Contrôle d'un PAC intra-artériel hépatique
- Mise en place de PAC artériel
- Mise en place itérative d'un cathéter intra-artériel pour chimiothérapie hépatique
- Retrait d'un cathéter itératif intra-artériel pour chimiothérapie hépatique
- Oncologie - Thermo-ablations
- Cryo-ablation d'une lésion pelvienne
- Cryo-ablation d'une lésion rénale
- Cryo-ablation hépatique
- Cryo-ablation pulmonaire
- Cyro-ablation surrénalienne
- Thermo-ablation hépatique par micro-ondes
- Thermo-ablation hépatique par RF
- Thermo-ablation hépatique peropératoire par micro-ondes
- Thermoablation pulmonaire par micro-ondes
- Oncologie-Angiographies
- Scanner au Lipiodol (Lipiodol-CT)
- Chimio-embolisation hépatique (cTACE)
- Chimio-embolisation hépatique (balloon-cTACE)
- SIRT - Injection de SIR-Spheres
- SIRT - Injection de TheraSphere
- SIRT - Injection test de MAA marqué au 99mTc
- Pédiatrie
- Radiographie de la main gauche pour détermination de l'âge osseux
- Cystographie rétrograde et mictionnelle
- Désinvagination
- Désinvagination
- Échographie des hanches du nourrisson
- Échographie transfontanellaire
- Radiographie du thorax chez l'enfant
- Transit œso-gastro-duodénal pédiatrique
- Picc Line
- Mise en place de PICC
- Repérage avant SBRT
- Repérage de lésion
- Mise en place de fils d'Ariane
- Sclérothérapies
- Sclérothérapie d'un sérome
- Sclérothérapie d'une collection [XXXX] (doxycycline)
- Thyroïde - Consultations
- Échographie et consultation post-interventionnelle (parathyroïde ; 6 mois)
- Thyroïde - Interventions
- Alcoolisation d'un kyste de la thyroïde
- Biopsie de la thyroïde
- Cytoponction de la thyroïde
- Thermo-ablation par micro-ondes de la thyroïde
- Thermo-ablation par RF d'un adénome parathyroïdien
- Thermo-ablation par RF d'une récidive ganglionnaire cervicale
- Thermo-ablation par RF de la thyroïde (nodule froid)
- Thermo-ablation par RF de la thyroïde (nodule chaud)
- Traitement de l'embolie pulmonaire
- Mise en place de cathéter EKOS pour fibrinolyse in situ
- Thrombo-aspiration artérielle pulmonaire pour embolie pulmonaire
- Traitement de l'hypertension portale
- Mesure des pressions hépatiques par voie transjugulaire
- Traitement de l'hypertension portale
- Angioplastie et stenting de la veine porte
- BRTO
- Contrôle de TIPS
- Embolisation d'un saignement para-stomial
- TIPS
- Traitement des endofuites
- Embolisation percutanée d'une endofuite de type II
- Traitement des malformations vasculaires
- Urologie
- Dénervation rénale intra-artérielle par RFA
- Embolisation d'un angiomyolipome
- Embolisation d'un priapisme à haut débit
- Embolisation d'une varicocèle gauche
- Embolisation des artères prostatiques
- Néphrostomie percutanée (échographie/scopie)
- Vasculaire artériel ilio-poplité
- Angiographies diagnostiques du membre inférieur
- Angioplastie et stenting de l'axe artériel fémoral
- Vasculaire thoracique
- Angioplastie des artères pulmonaires
- Cathétérisme cardiaque droit
- Embolisation d'une MAV pulmonaire
- Stenting couvert d'une artère pulmonaire
- Stenting de l'artère pulmonaire droite
- Embolisation des artères bronchiques
- Consultation pré-interventionnelle
- Consultation de suivi à 3 mois
- Consultation de suivi post-embolisation des artères bronchiques
- Embolisation des artères de la prostate
- Consultation après embolisation de la prostate (3 mois)
- Consultation avant embolisation de la prostate
- Filtre cave
- Consultation pré-interventionnelle
- Gynécologie
- Consultation de suivi post-embolisation (syndrome de congestion pelvienne)
- Consultation de suivi post-embolisation des artères utérines
- Consultation pré-interventionnelle
- Interventions vasculaires
- Consultation avant traitement d'une endofuite (EVAR)
- Consultation de suivi post-embolisation d'AML rénale
- Consultation de suivi post-embolisation d'endofuite (EVAR)
- Consultation pré-interventionnelle (dénervation des artères rénales)
- Consultation pré-interventionnelle (drainage percutané de collection / abcès)
- Consultation pré-interventionnelle (embolisation d'AML)
- Consultation pré-interventionnelle (néphrostomie percutanée)
- Consultation pré-interventionnelle (pose de chambre implantable — PAC)
- Consultation pré-interventionnelle (drainage biliaire percutané)
- Consultation pré-interventionnelle (pose de PICC-line)
- Consultation pré-interventionnelle (traitement d'anévrisme viscéral)
- Malformations vasculaires
- Consultation de suivi post-sclérothérapie percutanée (malformation vasculaire)
- Consultation pré-interventionnelle (sclérothérapie percutanée)
- Oncologie interventionnelle
- Consultation de suivi post-ablation hépatique (thermo-ablation / cryo-ablation)
- Consultation pré-interventionnelle (biopsie hépatique percutanée)
- Consultation pré-interventionnelle (biopsie osseuse percutanée)
- Consultation pré-interventionnelle (biopsie rénale percutanée)
- Consultation pré-interventionnelle (chimio-embolisation hépatique — TACE)
- Consultation pré-interventionnelle (cryo-ablation rénale percutanée)
- Consultation pré-interventionnelle (radio-embolisation hépatique — SIRT / Y90)
- Pré-interventionnelle oncologique
- Consultation avant biopsie pulmonaire
- Consultation avant cryo-ablation d'une lésion costale
- Consultation avant thermo-ablation hépatique percutanée
- Traitements minimalement invasifs de la thyroïde
- Échographie et consultation de suivi à 3 mois (nodule chaud)
- Échographie et consultation de suivi à 3 mois (nodule froid)
- Échographie et consultation de suivi à 3 mois (nodule kystique ; alcoolisation)
- Échographie et consultation de suivi à 3 mois (adénome parathyroïdien)
- Échographie et consultation pré-interventionnelle (nodule froid)
- Échographie et consultation pré-interventionnelle (nodule chaud)
- Échographie et consultation pré-interventionnelle avant alcoolisation (nodule kystique)
- Échographie et consultation pré-interventionnelle (cancer)
- Échographie et consultation pré-interventionnelle (adénome parathyroïdien)
- Échographie et consultation pré-interventionnelle (goître)
- Vasculaire (non oncologique)
- Consultation après embolisation d'une varicocèle (3 mois)
- Consultation de suivi (embolisation d'hémorroïdes - emborrhoid)
- Consultation de suivi (embolisation des artères géniculées (gonarthrose))
- Consultation de suivi à 3 mois (stenting de l'artère rénale)
- Consultation de suivi post-angioplastie pulmonaire (CTEPH)
- Consultation de suivi post-embolisation de MAV pulmonaire
- Consultation pré-interventionnelle (retrait de filtre cave)
- Consultation pré-interventionnelle (syndrome de congestion pelvienne)
- Consultation pré-interventionnelle (embolisation des artères géniculées (prothèse))
- Consultation pré-interventionnelle (stenting d'artère rénale)
- Consultation pré-interventionnelle (embolisation des artères géniculées (gonarthrose))
- Consultation pré-interventionnelle (embolisation de MAV pulmonaire - Rendu-Olser)
- Consultation pré-interventionnelle (embolisation de MAV pulmonaire sporadique)
- Consultation pré-interventionnelle (embolisation d'AML)
- Consultation pré-interventionnelle (angioplastie pulmonaire - CTEPH)
- Consultation pré-interventionnelle (embolisation d'hémorroïdes - emborrhoid)
- Consultation pré-interventionnelle (embolisation de varicocèle)
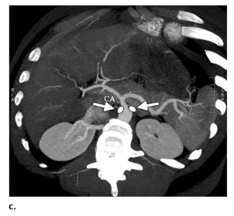
Alcoolisation rétrocrurale du plexus coeliaque
Alcoolisation rétrocrurale du plexus coeliaque à visée antalgique
Indication :
Douleurs.
Technique :
Geste réalisé sous anesthésie locale, sous contrôle scanner.
Dosimétrie: [XXX]
Opérateurs : [XXX].
Résultat :
Absence de comparatif disponible.
Explication du geste, de ses risques et obtention du consentement écrit libre et éclairé.
Installation en décubitus ventral.
Repérage scanner retrouvant [XXX] et identifiant les espaces graisseux rétrocruraux entre T12 et L2, cibles du geste.
Aspepsie et champtage habituel.
Anesthésie locale cutanée (Rapidocaine 1%).
Sous contrôle scanner, mise en place dans l'espace graisseux rétrocrural cible de chaque côté d'une aiguille spinale noire 22G.
Injection de produit de contraste (1 ml de chaque côté). Confirmation par scanner de la bonne position des aiguilles.
Injection de Rapidocaine 1% (5 ml de chaque côté).
Injection d'éthanol 96% ( 5ml de chaque côté).
Purge des aiguilles avec de la Rapidocaine 1% lors de leur retrait.
Scanner de contrôle montrant une bonne diffusion craniocaudale du produit de contraste dans l'espace rétrocrural de chaque côté.
Absence de complication précoce.
Conclusion :
Alcoolisation bilatérale rétrocrurale du plexus coeliaque.
Conduite à tenir :
Lever uniquement possible avec la présence de personnel infirmier pendant les 24 premières heures.
Articles associés
Articles liés à ce compte rendu. Utilisez la recherche pour parcourir tous les articles disponibles.



