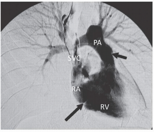
Anatomie angiographie des artères pulmonaires

Face

A : 20-30° RAO ; B : 35-40° LAO.

A : 30-40° LAO ; B : 40-50° RAO.
- Nicolas Villard
Geste réalisé sous anesthésie locale avec sédation consciente (stand-by anesthésique), sous contrôle échographique et scopique.
Opérateurs : [XXX].
Absence de comparatif disponible.
Explication du geste de ses risques et obtention du consentement écrit libre et éclairé.
Installation du patient en décubitus dorsal.
Asepsie soigneuse et champtage habituel.
Ponction échoguidée de la veine fémorale commune droite et mise en place selon Seldinger d'un introducteur 6F 10 cm puis 8F 10 cm.
Cathétérisme du cœur droit avec mesures hémodynamiques (sonde Swan Ganz Edwards 7.5F) :
- pressions dans l'atrium droit : [PAs]/[PAd] mmHg ([PAm] mmHg) ;
- pressions dans le ventricule droit : [PAs]/[PAd] mmHg ([PAm] mmHg) ;
- pressions dans le tronc pulmonaire : [PAs]/[PAd] mmHg ([PAm] mmHg) ;
- pressions capillaire bloquée (Wedge) : [PAw] mmHg.
Calculs hémodynamiques :
- pressions systémiques : [PAs]/[PAd] mmHg ;
- débits mesurés : [débits] L/min ;
- résistance vasculaire : [résistance].
Changement de l'introducteur pour un introducteur Checkflow 6F 70 cm.
Cathétérisme du tronc de l'artère pulmonaire (pigtail angulée 5F) puis avancée de l'introducteur pour sécuriser l'accès.
Administration intraveineuse de [5'000] UI d'héparine.
Cathétérisme de l'artère pulmonaire [XXXX] (cathéter [JR4] guiding 6F).
Artériographies sélectives puis suprasélectives montrant :
[DESCRIPTION DES ANOMALIES].
Traitement de [Ax] :
- Passage de la sténose avec un guide PT2 moderate 0.014'' ;
- Angioplastie avec un ballon [Sleek 3 x 20 mm] ;
- Résultat optimal.
Retrait du matériel.
Compression manuelle du point de ponction et pansement compressif (Safeguard).
Absence de complication précoce.
Angiographies pulmonaire diagnostiques montrant [XXX].
Angioplasties de [XXX].
Absence de complication précoce.
Surveillance aux soins intensifs, avec alitement strict.
Radiographie thoracique et reprise de l'anticoagulation à H+1 ce jour.
Articles liés à ce compte rendu. Utilisez la recherche pour parcourir tous les articles disponibles.

Face

A : 20-30° RAO ; B : 35-40° LAO.

A : 30-40° LAO ; B : 40-50° RAO.